你有没有试过在望向蓝天时,发现有一条又一条的东西在爬?如果你有这个状况,千万不要以为自己患了怪病,因为这其实是蓝天
人人都是鼻涕制造机
你一整天都在制造(以及吞下注一)鼻黏液,或称鼻涕,每二十四小时可产生一到一.五公升
你有没有试过在望向蓝天时,发现有一条又一条的东西在爬?如果你有这个状况,千万不要以为自己患了怪病,因为这其实是蓝天
一份新研究发现了人类白血球细胞利用一种“分子桨”机制在液体环境内游动前进。研究发现,从对人体有益的免疫修复,到扩大
🔖
癌症,
细菌,
细胞,
运输机,
物理学,
科学家,
环境,
癌细胞,
白血球,
修复,
人体中细胞的工作过程有多奥妙?日本近期动画《工作细胞》就用幽默可爱的风格为我们介绍。血小板是个默默工作的小萝莉,而
🔖
癌症,
细菌,
细胞,
科学家,
环境,
微生物,
血小板,
抗癌,
生物学,
癌细胞,
疾病,
白血球,
修复,
大众常用“血汗劳工”来形容一个人工作环境很不人道,古代也有“汗血宝马”的名贵品种,但是血真的有可能像
最新研究显示,传染性单核白血球增多症(Mono,也称“接吻病”)还会增加其它七种疾病的风险!而且目前
🔖
感染,
疫苗,
dna,
细胞,
科学家,
基因,
生物学,
病毒,
食物,
糖尿病,
疾病,
白血球,
辛辛那提,
基因组,
修复,
随着年龄增长,人的体能会有所下降,新研究发现,平日的走路速度的微小差异能作为寿命和健康的有力指标。那
1. 蝉3301 (Cicada 3301)
蝉3301是个谜样的组织,从2012年开始在网络PO出一
🔖
黑客,
陨石,
传说,
地球,
金字塔,
眼镜蛇,
雪,
古墓,
食物,
白血球,
大气层,
理想情况下,您不会想要治疗的副作用,但实际上总是有风险。 有时候,这些影响是危险的,甚至威胁生命,但偶尔他们可以是
研究人员鉴定出在我们的免疫系统和导致器官排斥的细胞活化之间一个以前隐藏的连结。
这一项发
有很多这样的集合,目标在以一种方式来展示科学观念的集合是易于消化的。
1) 这是一个勒洛三角形(reu
到目前为止,也许你有听过禁食惊人且可能的健康益处。很多人认为它是不健康甚至危险的实行方法,但科学家不这么说。就连间
事情刚刚变得复杂
研究人员发现,肺在哺乳动物体内扮演着远比我们所想的还要复杂的角色,新的
🔖
感染,
老鼠,
细胞,
科学家,
基因,
血小板,
生物学,
水母,
疾病,
白血球,
哺乳动物,
基因组,
干细胞,
世界现在可能是在黑暗的地方,但科学提供足够的光来击退阴影。举两位婴儿刚刚被拯救的例子来说,之前无法治愈的白血病,由于
●生命型式越简单,“再生”能力越强
根据科学家的归纳分析发现,构造越简单的动物,再生能力
🔖
斑马,
感染,
细菌,
细胞,
科学家,
胚胎,
血小板,
病毒,
白血球,
蝾螈,
熊,
修复,
细胞分裂,
分裂,
干细胞,
未来人,
器官修复,
点击左上方头像,关注网易科学人,竟有许多惊喜! 如果你将身体贴在粒子加速器上,结果会怎样?这个假设听起来就像是糟糕的
🔖
大脑,
癌症,
感染,
闪电,
宇宙,
dna,
磁场,
遗传,
细胞,
物理学,
科学家,
探测器,
宇航员,
环境,
地球,
原子,
诺贝尔奖,
黑洞,
太阳,
切尔诺贝利,
方程,
辐射,
生物学,
强子对撞机,
白血球,
对撞机,
紫外线,
大气层,
质量,
分裂,
干细胞,
阿波罗,
下面是由Mark Mattson,现任美国国家老龄化研究所(National Institute on Ag
🔖
大脑,
化疗,
癌症,
dna,
老鼠,
进化,
细胞,
苍蝇,
记忆,
白鼠,
长寿,
阿兹海默症,
食物,
糖尿病,
疾病,
白血球,
神经系统,
神经元,
修复,
干细胞,
红血球其实像颗贝果面包,至于白血球咩,比较像是颗煎坏的荷包蛋……
《工作细胞》里的角色多是可爱的红血球小姐
🔖
dna,
遗传,
细菌,
细胞,
寄生虫,
科学家,
微生物,
血小板,
沉默的羔羊,
病毒,
瘤,
肿瘤,
食物,
白血球,
▲自体细胞杀胎。
我发现一名妇人无故流产,经追查化验后发现妇人子宫内有大量自然杀手细胞,人体内
🔖
细菌,
细胞,
胚胎,
病毒,
瘤,
肿瘤,
白血球,
致命疾病
短短3个月以来从爆发出一些讨论关于一种特定基因疗法可能通过到现在,但在那三个月由欧洲
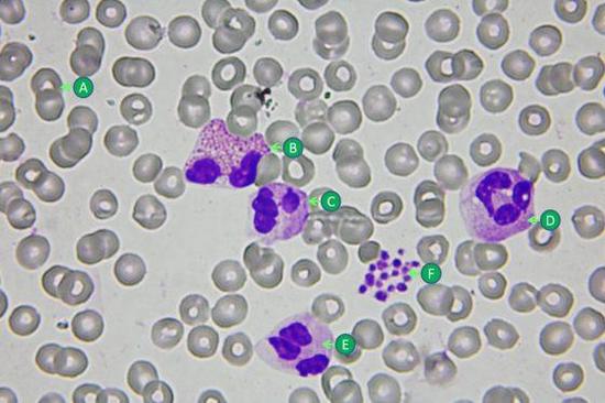
究竟这些细胞是如何四处摆动?
当你不小心切到手指造成流血,会怎样?首先,由于有血小板,血会开始凝结成块。接着,当白血
美国加州大学洛杉矶校区研究员发明新式显微镜,能使用人工智能侦测血液样本中的癌细胞。
交叉领域应
我们总是想像用矽晶片做的电子设备,这个电脑可以储存及处理二进位数(0跟1的数字)的资讯,由小电荷所代
🔖
癌症,
dna,
细胞,
环境,
基因,
机器人,
机械,
结核病,
纳米,
白血球,
科学家离能造仿生人类的日子越来越近,至少值600万的那个可以。现代,我们能够复制或复原越来越多身体部位。从给予盲人视
🔖
大脑,
癌症,
fda,
细胞,
科学家,
记忆,
中风,
阿兹海默症,
眼睛,
食物,
糖尿病,
疾病,
白血球,
哈佛,
你说的氧气翻倍,是指氧气的百分比翻倍还是氧气的质量翻倍?氧气代替氮气比单纯增加更多氧气是截然不同的概念。加入更多氧气
🔖
dna,
跳伞,
细菌,
细胞,
科学家,
环境,
地球,
二氧化碳,
微生物,
植物,
氮,
滑翔机,
白血球,
喜马拉雅山,
质量,
阿波罗,
科学家有史以来第一次拍到了白血球死亡时的影片。他们发现白血球死亡的瞬间会试着警告免疫系统杀它的凶手是谁!白血球是免疫系
目前,分子生物学家首次拍摄到白血球细胞死亡的过程。当白血球细胞崩溃时,它将吐出较长的水珠结构,布满着分子(如图所示)