研究人员发现,肺在哺乳动物体内扮演着远比我们所想的还要复杂的角色,新的证据揭露,它们不仅仅促进呼吸,而且在造血方面,扮演着关键的角色。
在涉及老鼠的实验中,研究小组发现肺每小时制造超过1千万个血小板(微小的血液细胞),相当于动物循环系统的大多数血小板。这违反了几十年的假设,骨髓制造所有血液的成分。
来自加州大学旧金山分校的研究人员还发现一个以前不知道的血液干细胞池,让造血在肺组织内发生,这些细胞在以前被错误地假定是主要存在于骨髓中。
研究人员之一的Mark R. Looney说:“这项发现肯定启发更复杂的肺脏观点。肺不仅仅是为了呼吸,而且还是血液重要部分的形成的关键伙伴。”
“我们在这里观察到的老鼠强烈暗示,肺也可能在人类的血液形成扮演关键的角色。”
虽然已知肺会制造限量的血小板,以前已经确定被称为巨核细胞(megakaryocyte)的血小板形成细胞存在于肺。科学家长期认为,大多数负责造血的细胞是保存在骨髓内。
在这里,被称为造血作用(haematopoiesis)的过程被认为是大量生产装满氧的红血球、对抗感染的白血球、以及血小板。血小板是凝血所需的血液成分,用来阻止出血。
但是科学家现在从在肺组织内发挥功能的巨核细胞观察到,造出了不是一些、而是大部分身体的血小板。
那么我们怎么会在这一整段时间,错过这样一个关键的生物过程呢?
这项发现是有可能透过一项基于双光子活体影像(two-photon intravital imaging)的新型技术来做到。这项技术和在本周由不同团队所使用的技术类似,那个团队使用那项技术发现到以前没有被确定的脑部小脑功能。
这个过程涉及到将名为绿色萤光蛋白(green fluorescent protein,GFP)的物质插入到老鼠的基因组,这种蛋白质是由生物发光动物天然产生的,例如水母,对活体细胞无害。
和以前不一样,当它们实际在身体四周循环时,老鼠的血小板开始发出明亮的绿色萤光,使得团队能够追踪他们的路径。
他们注意到肺组织内有数量相当惊人的制造血小板的巨核细胞,最初不觉得怎么样,把它们看作是通常与骨髓有关。
团队的一位成员Emma Lefrançais说:“当我们发现到这一大堆巨核细胞群似乎是居住在肺脏内时,我们意识到我们不得不采取进一步行动。”
他们发现这一大堆巨核细胞实际上在老鼠肺里每小时制造超过1千万个血小板,意味着至少有一半的血小板是在肺里产生。
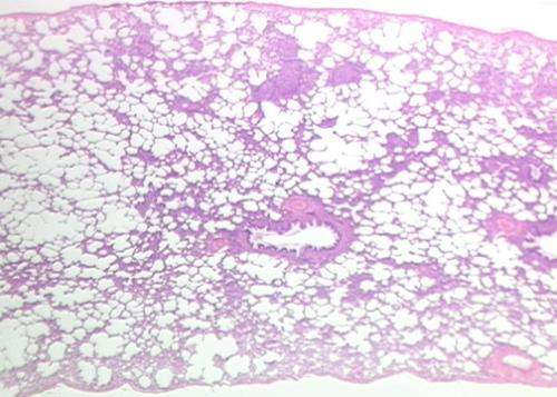
这里是它看起来的样子:
进一步的实验还揭露出大量以前隐藏的血液干细胞和巨核细胞的先驱细胞(progenitor cell,产生巨核细胞和红血球的细胞),就位在肺组织外部,每只老鼠的肺大概有1百万个。
当研究人员追踪巨核细胞的整个’生命周期’时,发现它们可能源自于骨髓,然后依它们的路径进入肺里,在那里开始制造血小板。
团队的一位成员Guadalupe Ortiz-Muñoz说:“实在很迷人,巨核细胞一路从骨髓行进到肺,来制造血小板。”
“由于血液的力学力(mechanical force),或者由于某些我们还不知道的分子讯号,肺有可能是制造血小板的理想生物反应器。”
藉由将带有萤光的巨核细胞先驱细胞的肺移植到血小板数量低的老鼠身上,这些研究人员想要研究他们的发现是否可以在未来影响我们如何治疗像是肺部发炎、出血的疾病和移植。
移植的肺制造出大量的血小板,迅速回补减少的血小板数量到正常程度,并持续好几个月。
另一项实验测试如果骨髓没有在造血发挥作用,会发生什么事。
这个团队把带有萤光的巨核细胞先驱细胞的肺,移植到被改造成骨髓中没有血液干细胞的老鼠身上。
正如Michael Irving在New Atlas报导,他们观察到当萤光细胞从移植的肺依它们的路径进入到骨髓时,不仅协助制造血小板,而且还协助制造其他关键的血液成分,例如嗜中性白血球(neutrophil)、B细胞和T细胞。
这些研究成果需要在人类身上进行复制,然后才能够肯定地知道同样的过程正在自己的身体内发生。但对于在可能是最被低估的器官之一的隐藏功能,这项研究提供了强有力的理由。
这也可能促使科学家进一步研究骨髓和肺如何在一起工作,来制造我们的血液供给。
来自美国国家心肺与血液研究所(US National Heart, Lung, and Blood Institute)、没有参与这项研究的Traci Mondoro在一份新闻稿中说:“几十年来,已经知道肺可以制造血小板,但这项研究藉由证明老鼠的肺是这个过程的主要参与者,来增强这个想法。”
“关于血小板相关的造血作用的肺部作用,Looney和他的团队瓦解了一些传统观念,为这种整合生物学(integrated biology)的进一步科学探索铺路。”
这项研究刊登在自然期刊(Nature)。

!评论内容需包含中文