目前,科学家杰克-查罗纳(Jack Challoner)最新出版一本192页新书——《细胞:构建生命的视觉旅行》,书中刊登了250幅生物细胞显微图像,并对图像进行了文字描述。如图所示,图中美丽的簇状结构是白菖蒲植物地下根茎的横切面。
左图是蚕豆干细胞,图中细胞核是深蓝色部分,其中一些细胞核出现有丝分裂;右图是人类胚胎干细胞,斑点结构是存活在培养皿中的人类胚胎干细胞。
图中绿色球体是具有5万多个细胞的“团藻”,科学家对它们的生长过程进行了研究,连接邻近细胞的细胞质可使细胞之间实现通信,细长的鞭毛推动团藻在水中游动。
这张显微图像显示的是百合花雄蕊中的橙色花粉颗粒。
左图是玉米根茎的末端显微照片;右图是前列腺癌细胞。
在这张电子扫描显微图像中,红色部分是埃博拉病毒,它们爬行在猴子肾脏细胞上,像细胞一样,病毒具有核糖核酸(RNA)或者DNA核酸,但没有构建蛋白质的物质。
图中显示的是棉花植物花芽的横切面部分。
左图显示的是文昌鱼鱼鳃显微照片;右图是肌肉纤维。
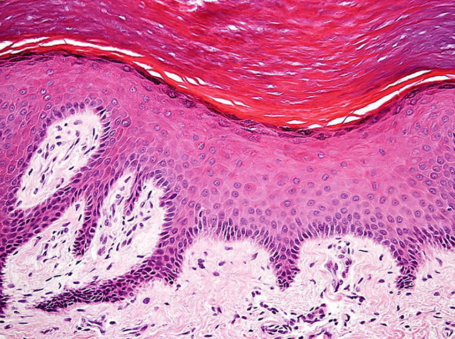
图中显示的是人类皮肤细胞,图中顶部两个深粉色组织层构成表皮,这种触须结构延伸至淡粉色真皮,表皮有4种类型细胞,其中角质细胞通过制造角蛋白,使人类皮肤更结实、柔韧和防水;黑色素细胞通过制造黑色素使人类皮肤呈现不同肤色。

!评论内容需包含中文