溺水发生在去年2月,当2岁的Eden Carlson滑出婴儿安全门栏时,她的母亲正在淋浴,然后她穿过一道重门,最后掉进住家的游泳池。
她掉进水里15分钟后才被发现,并且心跳停止。尽管她的母亲立即进行心肺复苏术(CPR)达2个小时,Eden还是没有苏醒,最后是由位于阿肯色州(Arkansas)费耶特维尔市(Fayetteville)的华盛顿地区医学中心(Washington Regional Medical Centre)的医生救活。
在医院接受重症护理48天后,这名小女孩出院。但由于脑部受伤程度以及身体副作用,高氧专家Paul Harch提议使用氧疗法(oxygen therapy)来试图“唤醒”Eden受损的大脑。
高压氧治疗(Hyperbaric oxygen therapy)是透过使用密闭的加压舱,在高于大气压力的环境压力下,提供氧气给患者。
藉由这样做,患者血液中的氧气供给量会增加,能够恢复正常的血液气体浓度,并修复受损组织。
在这个病例,Eden没有被置于非常靠近高压氧疗密闭舱。所以在溺水后的55天,这个团队开始一项正常气压氧气治疗的衔接过程,在海平面大气压下运送氧气。
透过每天2次的45分钟鼻插管治疗,Eden恢复了警觉,减少了蠕动,恢复手臂和手增加的运动量。
她也重新获得用嘴吃的部分能力,并且可以说些短句子,还会笑。
大约3个星期后,研究人员将Eden和她的家人搬到纽奥尔良(New Orleans),在那里她开始一轮新的高压舱内治疗。
仅仅10次治疗后,Eden的母亲观察到,除了大动作功能(gross motor function)之外,这名婴儿恢复到“接近正常”,因此,除了高压治疗之外,这名小女孩还开始做物理治疗。
一旦完成39次治疗,Eden的走路得到改善,她现在的说话能力程度被评估为比溺水的时候还要好。在所有的神经异常检查,她表现出改善,并显示出运动功能和认知接近正常。
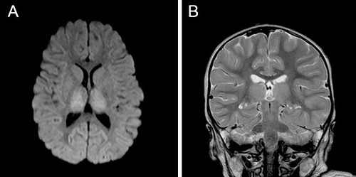
治疗在溺水后大约162天结束,核磁共振扫描显示,Eden的大脑依然有轻度的残留损伤,但经历了近乎完全逆转的皮质和白质萎缩。
研究她康复的团队表示,就他们所知,这类的逆转“没有任何治疗报告”。
很明显的,结合常压和高压氧治疗,来减少发炎和促使脑细胞存活。
Harch说:“在没有高压氧治疗的情况下,短时间的重复常压氧气治疗,可能是在可以使用高压氧治疗之前的选择。”
“对于类似的患者因为溺水而神经受损,这类低风险的医学治疗在功能恢复上,可能会有深度影响。”
这项研究成果报道于医学气体研究期刊(Medical Gas Research)。

!评论内容需包含中文