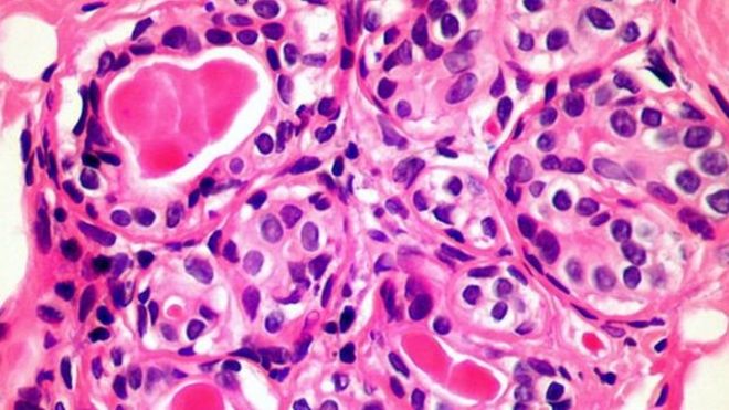
约半数的癌症病患,其癌细胞内 TP53 基因都已发生突变而功能异常。TP53 是细胞修复 DNA...
🔖
大脑,
癌症,
dna,
记忆力,
脑瘤,
自闭症,
遗传,
细胞,
科学家,
环境,
基因,
记忆,
瘤,
癌细胞,
疾病,
修复,
骨癌,
细胞分裂,
分裂,
喝酒、熬夜会伤肝,罹患肝癌后肝脏功能当然也会受损。不只如此,最新的研究指出,就连不在肝脏内的癌细...
🔖
化疗,
癌症,
细胞,
科学家,
基因,
抗癌,
邪恶,
皮肤癌,
癌细胞,
骨癌,
近期发表在《柳叶刀》杂志上的一份研究,第一次从一只尖角龙(Centrosaurus)的化石诊断它生前患有晚期恶...
🔖
癌症,
科学家,
基因,
角龙,
恐龙化石,
恐龙,
化石,
瘤,
肿瘤,
整形,
疾病,
骨癌,
癌症(Cancer)又名为恶性肿瘤,指的是细胞不正常增生,由控制细胞分裂增殖机制失常而引起的疾病,除了分裂失控...
🔖
癌症,
细胞,
科学家,
角龙,
恐龙,
化石,
生物学,
瘤,
肿瘤,
整形,
疾病,
骨癌,
细胞分裂,
分裂,
纳米粒子是现代医学纳米药物的中流砥柱,从精确定位送药到修复骨骼和肌肉等受损组织,科学家都在探索纳米粒子的用途。...
🔖
抗生素,
细菌,
细胞,
科学家,
基因,
抗癌,
专利,
纳米,
癌细胞,
骨骼,
实验室,
疾病,
骨质疏松,
紫外线,
涂料,
修复,
骨癌,
声波,
二氧化硅,
本月刊登在《自然·免疫学》(Nature
Immunology)上的一份研究称,找到一种可以对付所有癌细胞的...
🔖
癌症,
感染,
变异,
细胞,
瘤,
皮肤癌,
癌细胞,
肿瘤,
实验室,
骨癌,
结肠癌,
在电子显微镜下现形的“T细胞”。科学家从人类免疫系统中发现一种“T细胞”,可以对多种癌症“杀无赦...
🔖
癌症,
细胞,
科学家,
基因,
皮肤癌,
癌细胞,
实验室,
难以置信,
基因改造,
骨癌,
研究者们从一块2.4亿年前的化石上发现了骨癌的证据,而且是一种罕见的骨癌,这是目前为止发现的最早的骨癌病例。那...
🔖
癌症,
科学家,
环境,
环境污染,
化石,
瘤,
肿瘤,
海龟,
污染,
骨癌,
这种新免疫疗法可以治疗广泛的癌症。
想象一下如果未来有一天,所有的癌症都能被你自身的...
🔖
癌症,
感染,
细胞,
科学家,
基因,
瘤,
皮肤癌,
癌细胞,
肿瘤,
实验室,
细胞免疫疗法,
骨癌,
研究指微波可加热杀死癌细胞。
发表新研究的德萨斯州大学位于阿灵顿。
美国德州一间大学日前发表新研究,成功以微波加热杀...