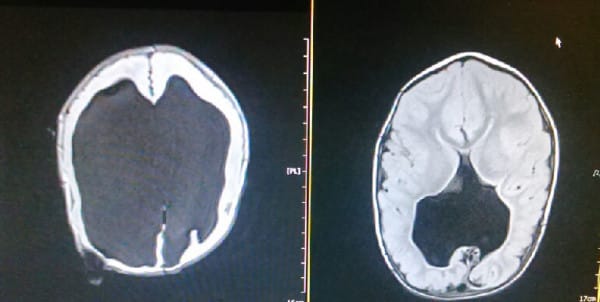
4年前,宝宝诺亚 (Noah Wall) 出生时有严重的出生缺陷,他罹患了脑水肿 (Hydrocephalus),有一个异常肿胀的头,而且几乎没有脑袋。
在宝宝被生下来之前,医生曾警告妈妈雪莉 (Shelly),诺亚出生后很可能无法活很久或马上死亡。即使幸运地存活,他也会有很多生活上的障碍,一生活在痛苦之中,因此医生建议她堕胎。可是雪莉不愿放弃,她只希望看到自己的孩子,不管有什么风险。
诺亚出生后,由于脑水肿的影响,98%的脑袋无法运作。但随着他慢慢成长,不可思议的事发生了。他的大脑逐渐长回来,让医生们都难以置信。
即使他需要比其他小孩花更多的时间成长,但现在4岁的他可以讲话,而且基本上拥有与同龄儿童相同的大脑。虽然诺亚仍然面临各种可怕并发症 (如脊柱裂) 的威胁,但他惊人的恢复能力震惊全球。BBC也有拍摄关于诺亚的纪录片,称这个令人难以置信的宝宝为无脑男孩。
把这个充满正能量的新闻分享出去吧!

!评论内容需包含中文